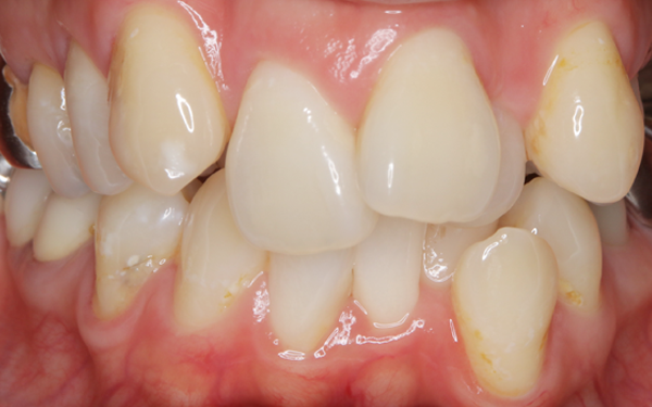
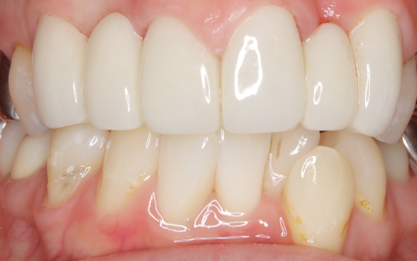
歯のセラミック治療やセラミック矯正の症例写真



クリスタルナチュラルクラウン4本


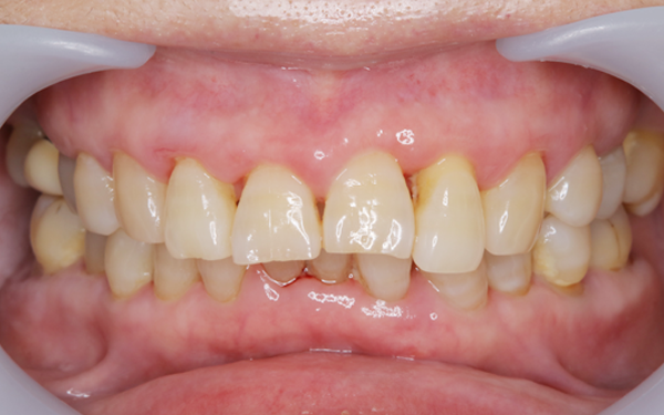
リファインドセラミック10本


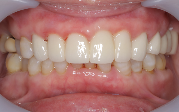
リファインドセラミック6本


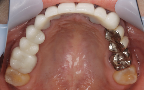
リファインドセラミック5本、クリスタルナチュラルクラウン7本


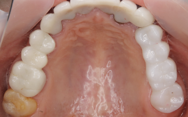
リファインドセラミック12本


リファインドセラミック13本


リファインドセラミック6本


リファインドセラミック2本
診療時間は10時~19時まで診療しています。
通学や通勤のお帰りにも立ち寄っていただけます。
※不定休有
| 診療時間 | 月 | 火 | 水 | 木 | 金 | 土 | 日 | 
|---|---|---|---|---|---|---|---|
| 10:00-19:00 | ● | ● | ● | ● | ● | ● | ● | 
住所 東京都港区港南2-6-3シントミビル4F
Tel 0120-418-370
※不定休有
診療時間は10時~19時まで診療しています。
通学や通勤のお帰りにも立ち寄っていただけます。
※木曜日・日曜日休診・他不定休有
| 診療時間 | 月 | 火 | 水 | 木 | 金 | 土 | 日 | 
|---|---|---|---|---|---|---|---|
| 10:00-19:00 | ● | ● | ● | × | ● | ● | × | 
住所 大阪市北区梅田1-11-4 大阪駅前第4ビル2F
Tel 0120-418-381
※木曜日・日曜日休診・他不定休有
このページは歯科医師免許を取得した品川デンタルケアクリニックの歯科医師が監修をおこなっております。品川デンタルケアクリニックには日本口腔インプラント学会所属の村井医師をはじめ歯科医師歴20年以上、口腔外科経験のある医師が在籍しております。また厚生労働省の「医療法における病院等の広告規制について」「医業若しくは歯科医業又は病院若しくは診療所に関する広告等に関する指針」に則りWEBサイトを運営しております。
品川院 院長
久道 聡 医師
品川院
村井 東俊 医師
品川院
別府 大嘉繁 医師

梅田院 院長
松岡 千恵子 医師